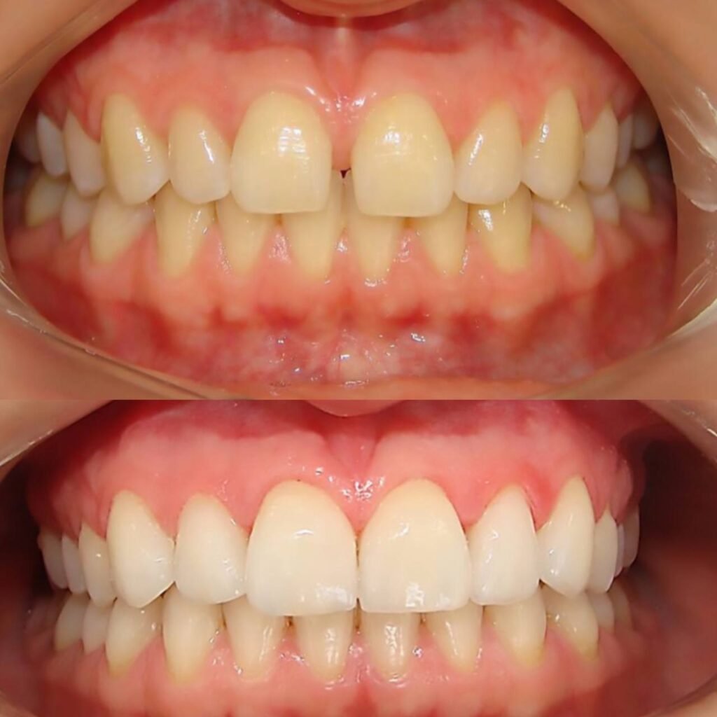
هل التقويم الشفاف يعالج بروز الأسنان
نعم، التقويم الشفاف يمكن أن يعالج بروز الأسنان في العديد من الحالات. يعمل التقويم الشفاف على تحريك الأسنان بشكل تدريجي […]
نعم، التقويم الشفاف يمكن أن يعالج بروز الأسنان في العديد من الحالات. يعمل التقويم الشفاف على تحريك الأسنان بشكل تدريجي […]
التقويم الشفاف المتحرك (أو التقويم الشفاف) هو نوع من تقويم الأسنان يستخدم قوالب شفافة ومخصصة لتحريك الأسنان بشكل تدريجي إلى
التقويم الشفاف، المعروف أيضًا باسم تقويم الأسنان غير المرئي أو Invisalign، هو نوع من أنواع التقويم يستخدم لتحسين مظهر ووظيفة
التقويم الشفاف، المعروف أيضًا باسم تقويم الإنفزلاين (Invisalign)، هو نوع من أنواع تقويم الأسنان الذي يستخدم مجموعة من القوالب الشفافة
الانفيزالاين (Invisalign) هو نظام تقويم الأسنان الشفاف الذي يستخدم مجموعة من القوالب البلاستيكية الشفافة لتصحيح مشكلات الأسنان مثل الفراغات، والتراكب،
التقويم الشفاف: الابتكار الحديث في تقويم الأسنان في السنوات الأخيرة، أصبح التقويم الشفاف خيارًا شائعًا بين الأفراد الذين يسعون لتصحيح