Clear braces before and after
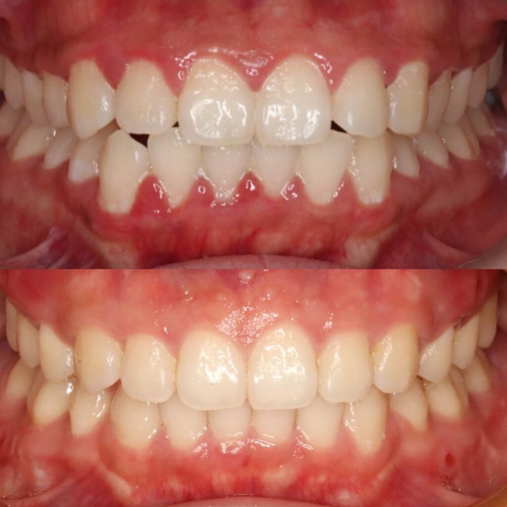
Using clear aligners before and after treatment can show a big difference in the arrangement of the teeth and the […]
Using clear aligners before and after treatment can show a big difference in the arrangement of the teeth and the […]
Clear braces, also known as Invisalign braces, are a type of braces used to improve the alignment of teeth almost
Yes, clear braces can be beneficial for many people. Here are some of the benefits it offers: However, how beneficial
Removable aligners (or clear aligners) are a type of braces that use clear, custom molds to gradually move the teeth
Clear braces, also known as Invisalign braces, are a type of orthodontics that uses a set of clear, removable trays
Clear braces, also known as invisible braces or Invisalign, are a type of braces used to improve the appearance and
Invisalign is a clear orthodontic system that uses a set of clear plastic trays to correct dental problems such as
Using Invisalign clear braces is a popular option for people who seek to straighten their teeth without the need for