Cracked Teeth
Cracked teeth are a common issue that can affect anyone, ranging from minor surface cracks that are harmless to deep […]
Cracked teeth are a common issue that can affect anyone, ranging from minor surface cracks that are harmless to deep […]
Human teeth are divided into four main types, each with a specific name and function:
Strengthening teeth and maintaining their health requires following healthy habits and ensuring that you obtain the necessary nutrients. Here are
Teeth have different types, and each type has a specific function in the process of eating and speaking. Teeth can
Yes, clear aligners can be effective in treating protruding teeth. Clear aligners gradually correct the positions of the teeth through
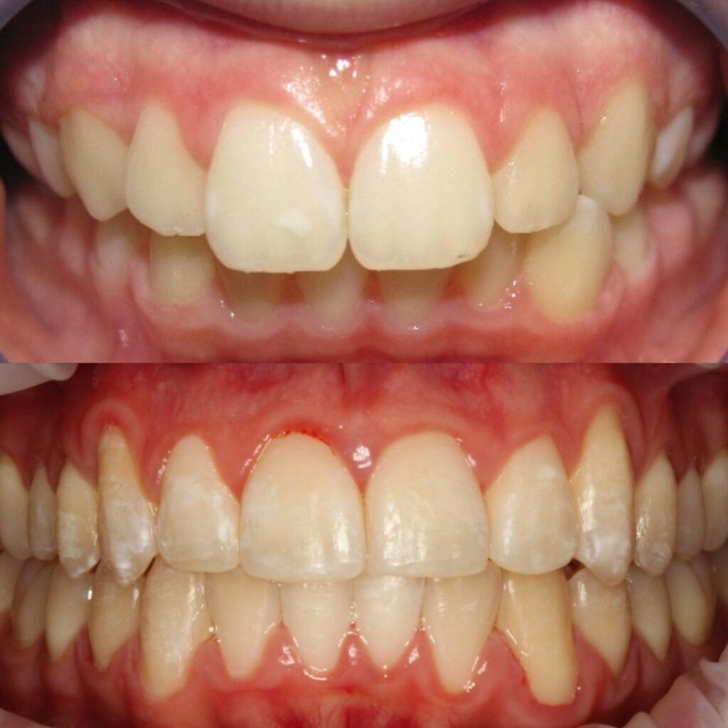
Using clear aligners before and after treatment can show a big difference in the arrangement of the teeth and the
Clear braces, also known as Invisalign braces, are a type of braces used to improve the alignment of teeth almost
Yes, clear braces can be beneficial for many people. Here are some of the benefits it offers: However, how beneficial
Removable aligners (or clear aligners) are a type of braces that use clear, custom molds to gradually move the teeth
Clear braces, also known as Invisalign braces, are a type of orthodontics that uses a set of clear, removable trays