Diş İmplantları: Prosedür, Faydalar ve Mevcut Seçenekler
Diş implantları, eksik dişlerin yerine genellikle titanyumdan yapılan yapay köklerin yerleştirildiği gelişmiş bir tıbbi işlemdir. Bu kökler çene kemiğine yerleştirilir […]
Diş implantları, eksik dişlerin yerine genellikle titanyumdan yapılan yapay köklerin yerleştirildiği gelişmiş bir tıbbi işlemdir. Bu kökler çene kemiğine yerleştirilir […]
Diş çatlakları, herkesin başına gelebilecek yaygın bir sorundur. Zararsız yüzey çatlaklarından, doğru şekilde tedavi edilmezse diş kaybına yol açabilecek derin
Dişleri güçlendirmek ve sağlığını korumak, sağlıklı alışkanlıklar edinmeyi ve gerekli besinleri almanızı sağlamayı gerektirir. Dişlerin güçlendirilmesine katkıda bulunan bazı şeyler
Dişlerin farklı türleri vardır ve her türün yeme ve konuşma sürecinde kendine özgü bir işlevi vardır. Dişler dört ana gruba
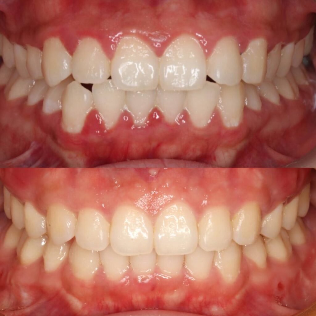
Evet, şeffaf plaklar çıkıntılı dişlerin tedavisinde etkili olabilir. Şeffaf plaklar, her vaka için özel olarak hazırlanmış bir dizi şeffaf plak
Invisalign diş telleri olarak da bilinen şeffaf diş telleri, dişlerin hizalanmasını neredeyse görünmez bir şekilde iyileştirmek için kullanılan bir diş
Invisalign diş telleri olarak da bilinen şeffaf diş telleri, dişlerin hizalanmasını neredeyse görünmez bir şekilde iyileştirmek için kullanılan bir diş
Evet, şeffaf diş telleri birçok kişiye faydalı olabilir. İşte sunduğu avantajlardan bazıları: Ancak şeffaf plakların ne kadar faydalı olduğu kişinin
Şeffaf diş telleri ve normal diş telleri ortodontide kullanılan iki tip diş telidir ve her birinin avantaj ve dezavantajları vardır.
التقويم الشفاف المتحرك (أو التقويم الشفاف) هو نوع من تقويم الأسنان يستخدم قوالب شفافة ومخصصة لتحريك الأسنان Bu, Amerika Birleşik