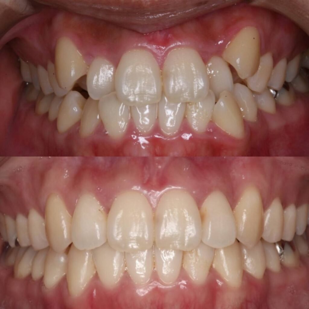
ازدحام الأسنان هو حالة شائعة تتميز بعدم وجود مساحة كافية في الفك لاستيعاب جميع الأسنان بشكل صحيح، مما يؤدي إلى تداخلها وضغطها. تتسبب هذه الحالة في مجموعة من المشاكل، بما في ذلك صعوبة في تنظيف الأسنان، مشاكل في الإطباق، وأحياناً تأثيرات جمالية تزعج الشخص.
أسباب ازدحام الأسنان:
- الوراثة: أحد الأسباب الرئيسية لازدحام الأسنان هو الوراثة. إذا كان أحد الوالدين أو كلاهما يعاني من ازدحام الأسنان، فقد يكون هناك احتمال أكبر أن ينتقل هذا الوضع إلى الأبناء. يمكن أن يكون حجم الفك صغيراً نسبياً مقارنة بحجم الأسنان، مما يؤدي إلى تداخلها.
- التطور غير الطبيعي للفك: في بعض الحالات، ينمو الفك العلوي أو السفلي بشكل غير متناسب مع حجم الأسنان، مما يخلق ازدحامًا. قد يحدث هذا بسبب النمو غير الطبيعي خلال مراحل الطفولة.
- فقدان الأسنان المبكر: فقدان الأسنان اللبنية في سن مبكرة أو تأخر ظهور الأسنان الدائمة يمكن أن يسبب ازدحامًا، حيث قد تتحرك الأسنان الدائمة إلى الأماكن غير الصحيحة قبل أن تكون المساحة المناسبة متاحة.
- العادات السيئة: عادات مثل مصّ الإبهام أو استخدام اللهايات لفترات طويلة قد تؤثر على نمو الأسنان والفك بشكل غير طبيعي، مما يساهم في حدوث ازدحام.
علاج ازدحام الأسنان:
- تقويم الأسنان: العلاج الأكثر شيوعاً لازدحام الأسنان هو استخدام تقويم الأسنان. تعمل أجهزة التقويم على تعديل مواضع الأسنان وتحسين الإطباق من خلال تطبيق ضغط تدريجي.
- إزالة الأسنان: في بعض الحالات، قد تكون إزالة الأسنان ضرورية لتوفير المساحة الكافية للأسنان الأخرى لتصحيح ترتيبها.
- الجراحة التقويمية: في الحالات الشديدة، قد يكون من الضروري اللجوء إلى الجراحة التقويمية لإعادة تنظيم الفكين والأسنان بشكل مناسب.
- العلاج الوقائي: زيارة طبيب الأسنان بانتظام واستخدام أدوات التنظيف المناسبة يمكن أن يساعد في تجنب تفاقم الحالة.
الوقاية المبكرة والتدخل المناسب يمكن أن يساهم في تحسين صحة الفم وتجميل الابتسامة بشكل فعال.
