drsamiassani

العضة المفتوحة

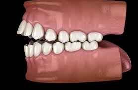
العضة المفتوحة هي حالة طبّية تشير إلى وجود فجوة أو مسافة بين الأسنان الأمامية العلوية والسفلية عندما يكون الفم مغلقًا. بعبارة أخرى، لا تلتقي الأسنان عند الإطباق، مما قد يؤدي إلى مشاكل في الوظائف الفموية والمظهر الجمالي.

تعود أسباب العضة المفتوحة إلى عدة عوامل، منها الوراثة، والعادات الفموية السيئة مثل مصّ الإبهام أو استخدام اللهاية لفترات طويلة خلال مرحلة الطفولة. كما يمكن أن تتسبب اضطرابات المفصل الصدغي الفكي، أو خلل في نمو الفك، أو التهابات مزمنة في اللثة في ظهور هذه الحالة.

تؤثر العضة المفتوحة على الوظائف الأساسية للفم، مثل المضغ والتحدث. قد يعاني الأشخاص المصابون بهذه الحالة من صعوبة في نطق بعض الحروف أو الأصوات بشكل صحيح، بالإضافة إلى مشاكل في مضغ الطعام، مما يمكن أن يؤدي إلى مشاكل في الهضم. علاوة على ذلك، يمكن أن تؤثر العضة المفتوحة على الثقة بالنفس بسبب تأثيرها على المظهر الجمالي للوجه والابتسامة.

لعلاج العضة المفتوحة، يعتمد العلاج على سبب الحالة وشدتها. في بعض الحالات، قد تكون التمارين الفموية وتقويم الأسنان كافية لتصحيح الوضع. إذا كانت العضة المفتوحة ناتجة عن عادات سيئة، فقد يكون من الضروري التخلص من هذه العادات لتجنب تفاقم الحالة. في الحالات الشديدة، قد يتطلب العلاج التدخل الجراحي لإعادة تنظيم الفكين والأسنان.

من المهم التشخيص المبكر للعضة المفتوحة والبدء في العلاج المناسب لتجنب المضاعفات المستقبلية. يُنصح بزيارة طبيب الأسنان بشكل دوري لفحص الفم والأسنان، والتأكد من عدم وجود مشاكل قد تؤثر على صحة الفم على المدى الطويل.

اترك تعليقاً

لن يتم نشر عنوان بريدك الإلكتروني. الحقول الإلزامية مشار إليها بـ *

Scroll to Top