تُعد التهابات اللثة من المشاكل الشائعة التي تصيب الفم، وتحدث نتيجة تراكم البكتيريا واللويحات السنية (البلاك) على الأسنان وحولها. عندما لا يتم تنظيف هذه التراكمات بشكل صحيح ومنتظم، فإنها يمكن أن تتصلب وتتحول إلى جير، مما يؤدي إلى تهيج اللثة والتهابها.
الأسباب: أسباب التهابات اللثة متعددة، وأكثرها شيوعًا هو سوء العناية بصحة الفم. يؤدي عدم تنظيف الأسنان بالفرشاة والخيط بانتظام إلى تراكم البلاك الذي يحتوي على بكتيريا يمكن أن تهاجم الأنسجة المحيطة بالأسنان. عوامل أخرى تزيد من خطر الإصابة تشمل التدخين، والتغذية غير السليمة، والتوتر، وأمراض مثل السكري، بالإضافة إلى تغيرات هرمونية خاصة عند النساء.
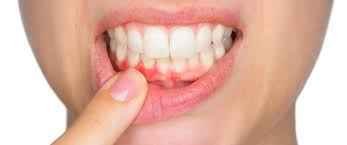
الأعراض: تشمل أعراض التهابات اللثة احمرار وتورم اللثة، ونزيف اللثة خاصة عند تنظيف الأسنان أو استخدام الخيط. قد يشعر المريض بألم أو حساسية في اللثة، وفي الحالات المتقدمة يمكن أن يحدث انحسار للثة وانكشاف جذور الأسنان، مما يزيد من خطر فقدان الأسنان.
العلاج: علاج التهابات اللثة يبدأ بتحسين روتين العناية بالفم. يُنصح باستخدام فرشاة أسنان ناعمة مرتين يوميًا، والخيط السني مرة واحدة على الأقل يوميًا لإزالة البلاك والبقايا الغذائية. من الضروري أيضًا زيارة طبيب الأسنان بانتظام لإجراء تنظيف شامل للأسنان وإزالة الجير. في حالات الالتهابات المتقدمة، قد يوصي الطبيب بإجراءات إضافية مثل تقليح الجذور، وهي عملية تنظيف عميق تحت اللثة لإزالة البكتيريا والرواسب.
إذا كانت الالتهابات ناتجة عن أسباب صحية مثل مرض السكري، يجب التحكم في الحالة الصحية الأساسية لتحسين صحة اللثة. في بعض الحالات، قد يصف الطبيب مضادات حيوية لعلاج الالتهابات الشديدة.
الوقاية: للوقاية من التهابات اللثة، يجب الالتزام بروتين جيد للعناية بالفم، بما في ذلك استخدام معجون أسنان يحتوي على الفلورايد، وتجنب التدخين، واتباع نظام غذائي صحي غني بالفيتامينات والمعادن الضرورية لصحة الفم. كما ينصح بمراجعة طبيب الأسنان بانتظام للكشف المبكر عن أي مشاكل محتملة.
في الختام، تعد التهابات اللثة مشكلة شائعة ولكن يمكن الوقاية منها وعلاجها بسهولة إذا تم اتباع نصائح العناية الفموية بانتظام والاهتمام بالصحة العامة.
